A vous de jouer !
Testez vos connaissances en échographie abdominale
Toutes les réponses sont présentes en fin de page !
Prenez un stylo et une feuille pour annotez vos réponses.
Bon courage !




Minette est un chat femelle Maine Coon de 4 ans qui vous est présentée pour des vomissements chroniques ne rétrocédant que partiellement aux traitements symptomatiques (Anti-acide, pansement gastrique et antibiothérapie). Une aggravation de ses vomissements est constatée par les propriétaires et des diarrhées commencent à apparaitre, une dysorexie associée à un discret amaigrissement, elle a perdu environ 300 grammes en 4 mois.
A l’examen clinique, vous constatez que Minette est légèrement déshydratée (à 5%), ses muqueuses sont roses et discrètement collantes, l’auscultation cardio-respiratoire ne montre aucune anomalie, la palpation abdominale révèle une discrète gêne à la palpation abdominale médiale.
Vous hospitalisez Minette et réalisez un examen biochimique. Vous obtenez ces résultats:
1- Quel examen complémentaire décidez vous de réaliser à la suite de cette analyse biochimique ?
A - Une échographie abdominale
B - Une laparotomie exploratrice
C - Une Numération Formule Sanguine
2- Quelle sonde envisagez vous d’utiliser ?
A - Une sonde sectorielle
B - Une sonde linéaire
C - Une sonde macro-convexe
D - Une sonde micro-convexe
3- Quelle fréquence de sonde envisagez vous d’utiliser ?
A - Une sonde de 3 MHz
B - Une sonde de 6,5 MHz
C - Une sonde de 10 MHz
D - Une sonde de 12 MHz
4 - Est ce que l’image obtenue vous semble correcte ?
A - Oui
B - Non
C - Je ne sais pas


5- Si non, expliquez quel réglage serait intéressant de modifier pour obtenir une image échographique correcte
A - J'ai coché oui à la réponse précédente
B - Diminuer la profondeur
C - Augmenter la profondeur
D - Augmenter le gain étagé en profondeur
E - Diminuer le gain étagé en profondeur
6- De quel organe s’agit-il ? Précisez G ou D et le plan de coupe réalisé
A - Le Rein Gauche en coupe transversale
B - Le Rein Droit en coupe transversale
C - Le Rein Gauche en coupe longitudinale
D - Le Rein Droit en coupe longitudinale
E - La Surrénale droite en coupe transversale


7 - En sachant que l'autre rein présente le même aspect échographique, et qu'ils mesurent tous les deux 3,5 cm de long, vous pouvez conclure :
A - Absence d'anomalie échographique visible
B - Nephromégalie bilatérale
C - Dilatation de la cavité pyélique
D - Signes échographiques en faveur d'une néphrite tubule-interstitielle
E - Signes échographiques en faveur d'une glomerulonephrite
8 - Quels organes sont visualisables ici ?
A - La Vessie
B - Le Foie
C - La Vésicule biliaire
D - La prostate
E - La Rate


F - Le canal cystique
G - Le canal cholédoque
9 - Sur cette même image échographique que pouvez-vous dire ?
A - J'observe la présence d'un calcul biliaire
B - Je n'observe aucune anomalie
C - J'observe la présence d'une mucocoele biliaire
D - J'observe la présence d'une cholangite
E - J'observe la présence d'une cholécystite
10 - De quel organe s'agit-il ?
A - Le Foie
B - La Rate
C - La Prostate
D - Le Jéjunum
E - Le Pancréas


11 - Sur cette même image échographique que pouvez-vous dire ?
A - J'observe la présence d'une hyperéchogénicité du parenchyme
B - Je n'observe aucune anomalie
C - J'observe la présence d'une hypoéchogénicité du parenchyme
D - J'observe la présence d'un effet de masse
12 - De quel organe s'agit-il ?
A - Du Jéjunum
B - Du Duodenum
C - Du Rectum
D - De la Jonction Iléo-Coeco-Colique
E - Du Colon descendant


13 - Sur cette même image échographique que pouvez-vous dire ?
A - J'observe la présence d'un iléus mécanique
B - Je n'observe aucune anomalie
C - J'observe la présence d'un corps étranger
D - J'observe la présence d'un effet de masse en périphérie
E - J'observe la présence d'une adénomégalie
14 - Où pouvez vous trouver cette même image échographique ?
A - Entre le Rein Droit et le colon ascendant
B - Entre le Rein Gauche et le colon descendant
C - Entre le Foie et l'Estomac
D - Entre le Rein Droit et la ligne médiane
E - Entre le Rein Gauche et la ligne médiane
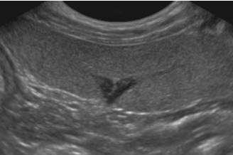
15 - De quel organe s'agit-il ?
A - Du Noeud lymphatique hépatique
B - De l'Ovaire Gauche
C - De la Surrénale Gauche
D - Du Noeud Lymphatique hypogastrique


16 - Où pouvez vous trouver cette même image échographique ?
A - En suivant la veine rénale Gauche
B - Entre le Rein Gauche et l'Aorte
C - Entre le Foie et l'Estomac
D - Entre le Rein Droit et la ligne médiane
E - En suivant la veine cave caudale
17 - De quel organe s'agit-il ?
A - De la Vessie
B - Du colon ascendant
C - De la Surrénale Gauche
D - Du Jéjunum


18 - Sur cette même image échographique, que pouvez dire ?
A - Présence de calculs
B - Présence de signe d'inflammation
C - Présence d'une lipidurie
D - Présence d'une masse polypoïde intrapariétale
19 - Vous arrivez à la fin de votre examen échographique abdominal, vous n'avez pas décelé d'autres anomalies sur les autres organes, notez l’ensemble des organes ayant présentés une anomalie échographique
A - Rate
B - Foie
C - Voies biliaires
D - Reins
E - Surrénales
F - Ovaires
G - Le Jéjunum
H - Le Pancréas
20 - Que concluez vous sur votre examen échographique ?
A - Images échographiques compatibles avec une triade féline (atteinte du pancréas, des voies biliaires et épaississement intestinal)
B - Images échographiques compatibles avec une cholangite et cholécystite
C - Images échographiques compatibles avec une pancréatite
D - Images échographiques compatibles avec une cystite
E - Images échographiques compatibles avec une néphrite tubule-interstitielle
Félicitations pour être arrivé au bout !
Il est maintenant temps de faire les comptes !
Pour information : L'ensemble des réponses sont abordées dans notre formation en échographie abdominale et vous connaîtrez ainsi toutes les subtilités de l'échographie abdominale !


Résultats :
Question 1 : Réponse A
Question 2 : Réponse D
Question 3 : Réponse B
Question 4 : Réponse B
Question 5 : Réponse B
Question 6 : Réponse C
Question 7 : Réponse A
Question 8 : Réponses B,C,F,G
Question 9 : Réponses D, E
Question 10 : Réponse B
Question 11 : Réponse B
Question 12 : Réponse D
Question 13 : Réponse E
Question 14 : Réponse D
Question 15 : Réponse C
Question 16 : Réponses A,B
Question 17 : Réponse A
Question 18 : Réponse C
Question 19 : Réponses C
Question 20 : Réponse B
Acadomvet
Plateforme de formation en e-learning vétérinaire
contact@acadomvet.fr
© 2024. All rights reserved.




